Presentamos el caso de una paciente mujer de 14 años, que acude al servicio junto con su madre debido a que el odontólogo le había comentado que no había erupcionado una molar en boca.
Figura 1
A la evaluación de la radiografía panorámica (Figura 1) observamos una imagen radiopaca, de límites definidos, circunscrita por un halo radiolúcido, corticalizada, proyectada entre la raíz distal de la pieza 46 y el borde anterior de la rama ascendente mandibular y la cima del reborde alveolar y la corona de la pieza 47, la cual se encuentra desplazada hacia caudal.
Figura 2
Se amplía con una tomografía cone beam y en los cortes axiales (Figura 2 ) se observa una masa hiperdensa de densidad mayormente homogénea con focos más hiperdensos (con densidad parecida al esmalte) localizada en el cuerpo mandibular derecho entre la raíz distal de la pieza 46 y el tercio inferior de la rama ascendente, generando la expansión y adelgazamiento de la tabla ósea vestibular.
Figura 3
Figura 4
En los cortes sagitales (Figura 3) y coronales(Figura 4), se evidencia que la pieza 47 y la masa comparten el saco folicular de dicha pieza, el segmento radicular en desarrollo se encuentra localizado a nivel de la basal mandibular, se observan íntegras las corticales del conducto dentario inferior y su desplazamiento hacia lingual y existe adelgazamiento de la lámina dura vestibular de la raíz distal de la pieza 46.
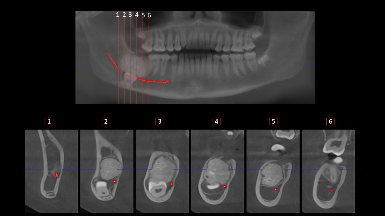
Figura 5
En los cortes transaxiales (Figura 5)(corte 4 y 5) se observa un canal corticalizado e isodenso, que comunica la masa con la cima del reborde alveolar, denominado tracto gubernacular el cual sirve como guía de erupción dental en las piezas en desarrollo, cuyo hallazgo implicaría que estamos ante una lesión de origen odontogénico. Signos imagenológicos a descartar odontoma complejo.
Figura 6
En la reconstrucción 3d (Figura 6)podemos observar de forma didáctica la extensión del odontoma complejo y su relación con el nervio dentario inferior, la pieza 47 y 46, teniendo vistas en sentido anterior, lingual y posterior.
Comentario
El odontoma es el tumor odontogénico más común y según la clasificación de la OMS en el 2022, hay dos tipos el compuesto y el complejo, se presentan entre la 2da y tercera década de vida, predominantemente en el sexo femenino y puede localizarse en la región anterior (odontoma compuesto) o en la región posterior (odontoma complejo) de los maxilares.
El odontoma puede estar conformado por dentículos, por tejido duro amorfo o particulado, la combinación de ambos (en donde es distinguible el esmalte, dentina, cemento y pulpa) o por una masa generalmente única en donde es muy difícil distinguir estas estructuras.
Representan un hallazgo en la radiografía panorámica y su diagnóstico imagenológico es casi siempre definitivo; sin embargo, para poder tener una mejor visualización de su relación con las estructuras adyacentes, se recomienda el uso de una tomografía cone beam.
En cuanto a sus características imagenológicas: son imágenes radiopacas o hiperdensas de densidades variables, circunscritas por un halo radiolúcido o isodenso, corticalizadas, bien definidas, cuya forma y composición puede variar y pueden generar adelgazamiento de corticales. A esto se suma el identificar el tracto gubernacular, el cual es un signo de ayuda que nos permite distinguir entre una lesión odontogénica y no odontogénica como por ejemplo un odontoma complejo de una displasia ósea, fibroma osificante, entre otras.
Autor: Dr. Carlos Merino Bustamante
-
Cirujano Dentista – Facultad de Odontología Universidad Nacional Federico Villarreal
-
Especialista en Radiología Bucal y Maxilofacial – Universidad Peruana Cayetano Heredia.
-
Radiólogo de Centro de Diagnostico por Imagen
-
cmerino@cdi.com.pe







