Presentamos el caso de una paciente mujer de 22 años, que acude al servicio referida por su odontólogo para evaluación para ortodoncia.
Figura 1
A la evaluación de la radiografía panorámica(Figura 1), se observa una imagen radiolúcida definida, corticalizada, festoneada, en relación a la pieza 38 (la cual se encuentra incluida), proyectada en la rama mandibular izquierda entre la escotadura sigmoidea con la basal mandibular adyacente a la pieza 37 y entre el borde anterior de la rama ascendente mandibular con el tercio medio de la misma.
Se amplía con una tomografía cone beam para una mejor evaluación, observando una imagen isodensa de 46,15mm (céfalo-caudal) x 28,21mm (ántero-posterior) x 8,10mm (vestibular-lingual) de longitud
Figura 2
En los cortes axiales (Figura 2), se observa que genera la expansión de la rama ascendente a nivel de la escotadura sigmoidea y es pericoronaria a la pieza 38 (la cual está en posición transversal con la corona orientada hacia lingual y la raíz orientada hacia vestibular generando la expansión de dicha tabla).
Figura 3
Figura 4
En los cortes sagitales (Figura 3) y coronales(Figura 4) se observa que afecta el hueso medular preferentemente, no afecta la lámina dura distal de pieza 37, es de aspecto festoneado y genera el adelgazamiento del borde anterior de la rama ascendente, de la tabla ósea lingual a nivel de la pieza 38 y de la cortical superior del CDI.
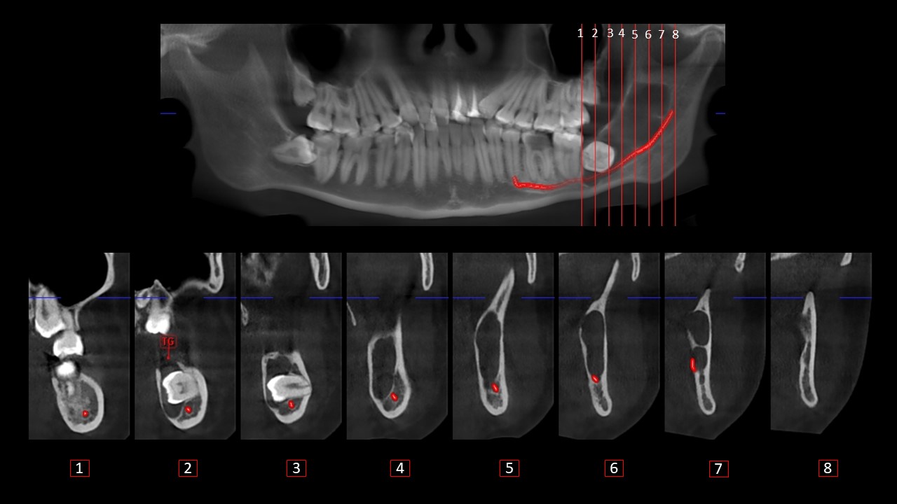
Figura 5
En los cortes transaxiales(Figura 5), se observa el aumento de la densidad ósea a nivel apical de pieza 37 (corte 1), la presencia del tracto gubernacular de la pieza 38 que comunica la lesión con la cima del reborde alveolar (corte 2) y la trayectoria del CDI (cortes del 1 al 8).
Figura 6
En la reconstrucción 3D tanto en l vista vestibular y lingual, observamos de forma didáctica la relación que tiene la lesión con la pieza 38, el conducto dentario inferior y la rama ascendente mandibular. Todos estos signos son sugerentes de un probable queratoquiste odontogénico.
Comentario
El queratoquiste odontogénico (QQO) representa el 10% de los Quistes Odontogénicos de los maxilares, teniendo un pico de incidencia entre la 3era y 4ta década de vida, afectando más a los varones. Su localización más frecuente es en la mandíbula que en la maxila (2:1) a nivel del cuerpo posterior, ángulo y rama mandibular. El 30% no tienen relación con ningún diente.
Imagenológicamente, representan un hallazgo, ya que clínicamente son asintomáticos, son radiolúcidas o isodensas, presentan una mínima expansión ósea debido a que tiene un crecimiento predominantemente en sentido anterior-posterior (a través del hueso medular). Son uni o multiloculares (30%), corticalizados, forma festoneada, pueden generar desplazamiento de estructuras, usualmente no reabsorben raíces y pueden generar perforación en corticales óseas (a predominio de la tabla ósea lingual).
Oda M, et al (2018) establecieron la relación que tienen las lesiones odontogénicas y no odontogénicas de los maxilares y el tracto gubernacular (el cual sirve de guía de erupción en piezas en desarrollo), indicando que, si este se presenta, estaríamos ante una lesión odontogénica, por lo que el TG sería un signo más para poder ayudarnos en nuestros diagnósticos diferenciales.
Autor: Dr. Carlos Merino Bustamante
-
Cirujano Dentista – Facultad de Odontología Universidad Nacional Federico Villarreal
-
Especialista en Radiología Bucal y Maxilofacial – Universidad Peruana Cayetano Heredia.
-
Radiólogo de Centro de Diagnostico por Imagen
-
cmerino@cdi.com.pe







