Paciente masculino de 40 años, asintomático, acude a la consulta para evaluación imagenológica de control luego de 8 sesiones de triamcinolona para el tratamiento de un granuloma central de células gigantes.

Figura 1
En la radiografía panorámica (Figura 1) se observa una imagen radiolúcida en maxilar superior derecho, de límites definidos, bordes parcialmente corticalizados, forma redondeada, que se extiende en sentido céfalo caudal desde el piso de la órbita derecha hasta la zona interproximal al tercio cérvico radicular de las piezas 16-15.

Figura 2
En la vista axial (Figura 2), notamos una imagen isodensa con presencia de tenues tabicaciones finas, hay adelgazamiento y expansión de la tabla ósea vestibular, desplazamiento de la pared externa de la fosa nasal derecha y del contorno antero medial del seno maxilar ipsilateral, además hay un aumento de la densidad ósea en la zona de piezas 16-15.

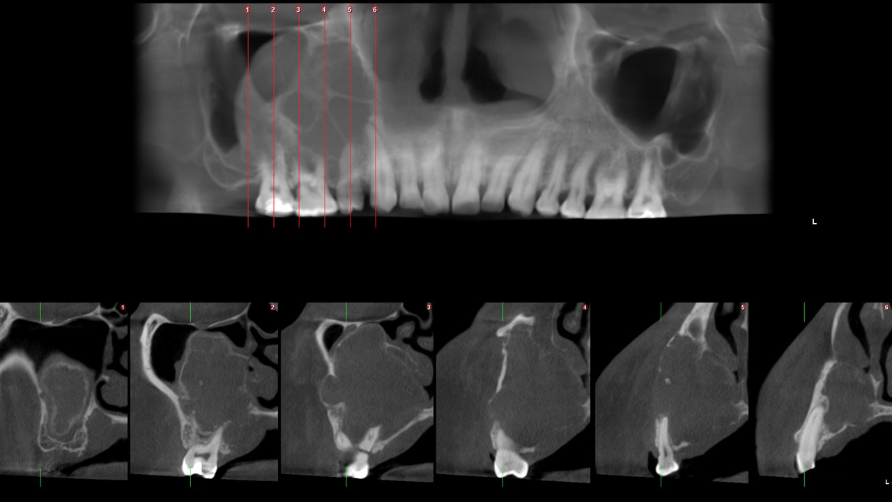
Figura 3
En la vista coronal (Figura 3) haciendo un barrido desde anterior a posterior evidenciamos que la lesión se extiende desde el piso de la órbita derecha, produciendo el borramiento parcial de la cortical inferior del conducto orbitario, hasta la tabla ósea palatina en zona de piezas 17-16, causando su adelgazamiento y borramiento parcial, sin embargo el ostium permanece permeable.
En una vista anterior podemos apreciar el desplazamiento del conducto nasolacrimal y de la pared externa de la fosa nasal, en la vista media, la fusión de la lesión con el cornete inferior y en la vista posterior el cornete inferior se encuentra conservado.

Figura 4
En la vista sagital (Figura 4) confirmamos el ocupamiento del seno maxilar, las corticales de la lesión son delgadas y presenta tenues tabicaciones en su interior. La pieza 16 presenta fractura radicular y la pieza 13 aplanamiento de su contorno apical, lo que sugiere reabsorción radicular externa.

Figura 5
En las vistas transaxiales (Figura 5) podemos apreciar la extensión de la lesión, su cortical delgada y de forma irregular, el adelgazamiento y expansión de la tabla ósea vestibular y el adelgazamiento y borramiento parcial de la tabla ósea palatina.

Figura 6
Las reconstrucciones tridimensionales (Figura 6) nos permiten ilustrar de manera didáctica la localización y la relación de esta entidad con las estructuras vecinas.
Signos radiográficos compatibles con probable granuloma central de células gigante.
COMENTARIO
El granuloma central de células gigantes es una lesión intraósea reactiva benigna de etiología desconocida, puede tener comportamiento agresivo. Suele causar expansión de tablas, reabsorción radicular y presenta tabicaciones rectas en la periferia.
Su localización más común es la mandíbula, en personas mayores de 30 años y con predilección por el sexo femenino. Puede tener un comportamiento agresivo con un crecimiento rápido y alta tasa de recidiva.
Radiográficamente se observa como una lesión radiolúcida uni o multilocular, de límites definidos, corticales delgadas, con tabicaciones tenues. Ocasiona expansión de tablas y puede producir desplazamiento de las piezas dentarias y también reabsorción radicular.







