Paciente masculino de 54 años de edad acude al servicio por un aumento de volumen en la región sinfisiaria.
Figura 1
En la radiografía panorámica (Figura 1) se observa una imagen radiolúcida, unilocular, definida, corticalizada, proyectada entre la cima del reborde alveolar de piezas 32,31,41,42 y la región sinfisiaria.
Se realiza una tomografía cone beam para evaluar mejor la región.
Figura 2
Figura 3
En los cortes axiales (Figura 2) y sagitales (Figura 3) podemos observar que la lesión es isodensa y genera el adelgazamiento y expansión de las tablas óseas lingual y vestibular.
Figura 4
En los cortes coronales(Figura 4) se observa que está localizada entre las piezas 32- 43 y que genera el adelgazamiento de la cima del reborde alveolar junto con la pérdida de lámina dura a nivel del tercio medio radicular medio y apical de piezas 32,31,41 y 42.
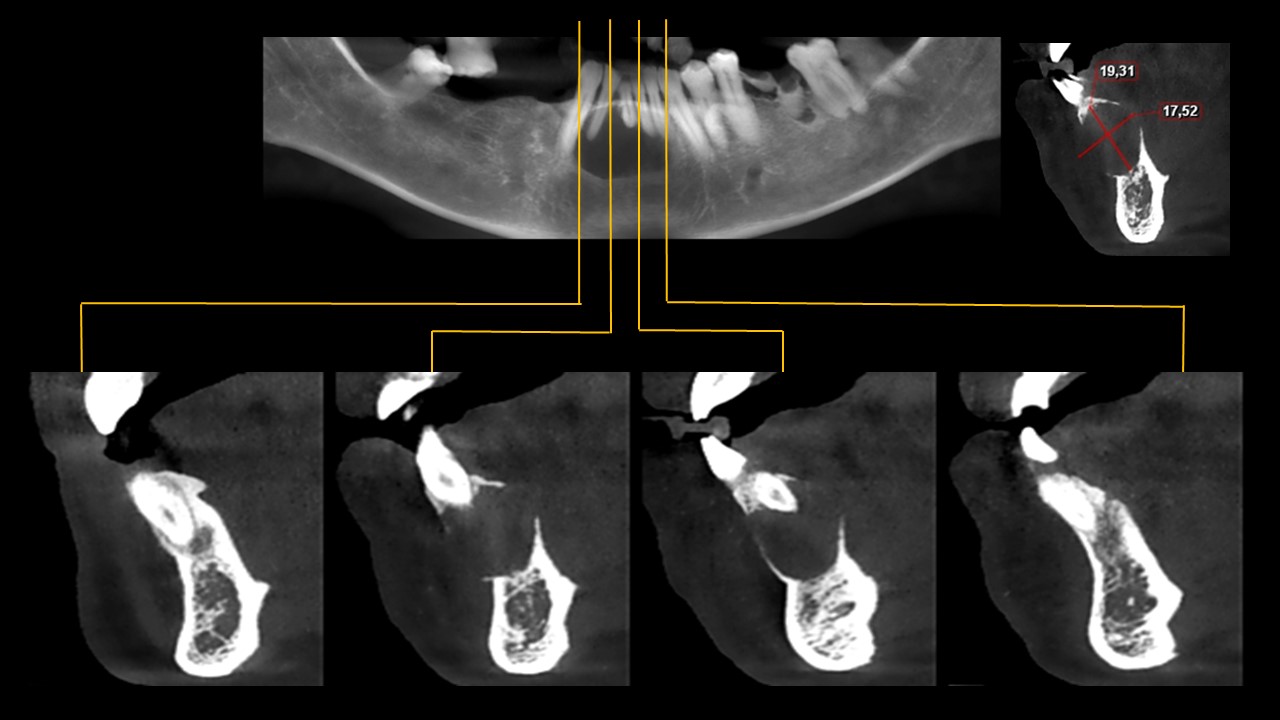
Figura 5
En los cortes transaxiales (Figura 5) se observa el desplazamiento de las piezas mencionadas; además, la lesión tiene un tamaño de 19.31mm de alto por 17.52mm de ancho.
Figura 6
Siguiendo el eje de las piezas (Figura 6) , se observa atrición incisal con compromiso pulpar en la pieza 41, evidenciando un aumento del ancho del conducto radicular y una irregularidad a nivel del tercio apical lingual, lo que indicaría que el origen de la lesión estaría asociado a dicha pieza.
Figura 7
En la reconstrucción 3D (Figura 7), observamos de manera didáctica el compromiso que tiene la lesión con las tablas óseas vestibular y lingual.
COMENTARIO
El quiste radicular es el quiste odontogénico más frecuente en adultos, siendo más prevalente en hombres, presentándose entre la 4ta – 5ta década de vida y está asociado a piezas no vitales. El sitio de distribución es la región anterior del maxilar superior, seguida de la región anterior mandibular.
Imagenológicamente, se presenta como una imagen radiolúcida, isodensa, unilocular, de forma circular u ovoide, definida y corticalizada. Pueden ser de gran tamaño (mayor a 1.5cm) generando desplazamiento dental, reabsorción radicular, reabsorción de lámina dura, expansión de corticales e inclusive, perforación de tablas óseas.

Autor: Dr. Carlos Merino Bustamante
Cirujano Dentista – Facultad de Odontología Universidad Nacional Federico Villarreal
Especialista en Radiología Bucal y Maxilofacial – Universidad Peruana Cayetano Heredia.
cmerino@cdi.com.pe






