



Detalles
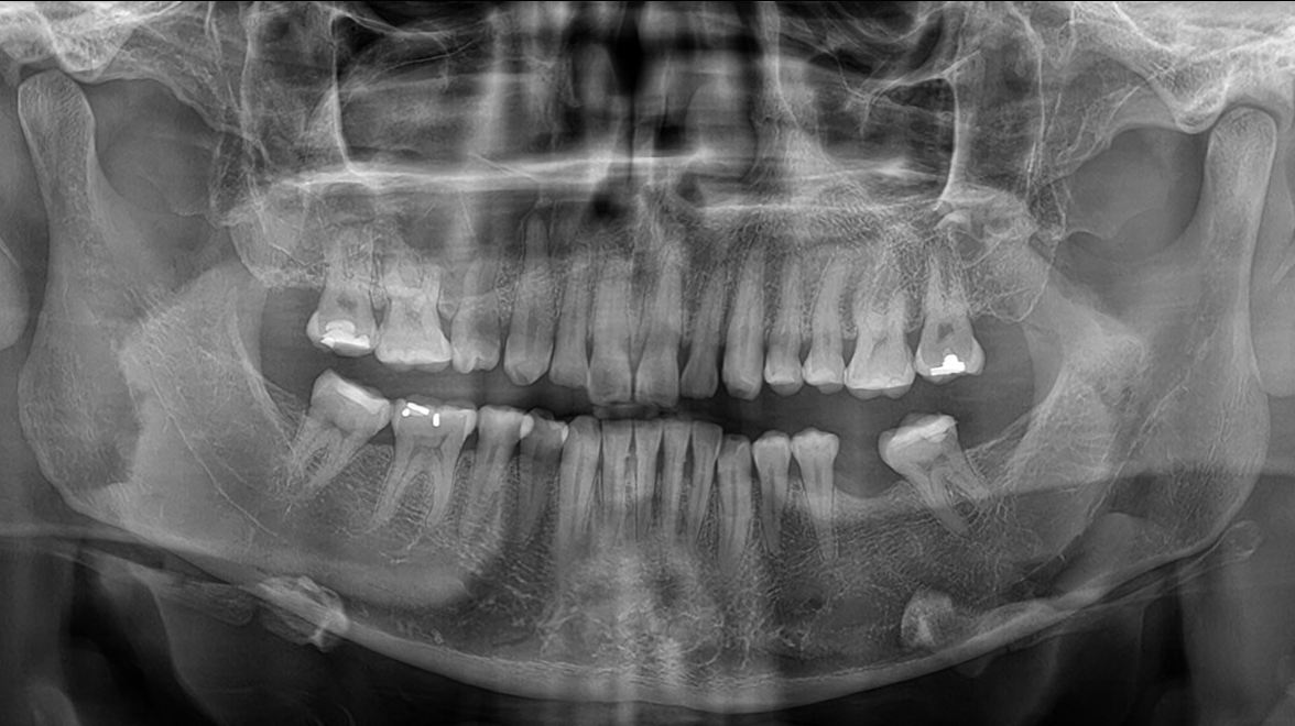
Paciente de sexo masculino de 12 años de dad con asimetría facial, refiere molestias en dientes (maxilar superior derecho) desde hace 5 meses. Antecedente de haberse golpeado y fracturado incisivo central derecho Al examen clínico se aprecia aumento de volumen en región geniana, intraoralmente a la palpación se aprecia claramente en zona vestibular abultamiento duro pero a distal de la lesión se torna blando sin crepitación. Persistencia en boca del canino temporal y ausencia clínica del canino permanente. El examen radiográfico muestra extensa imagen radiolúcida localizada en el maxilar superior derecho,en relación al canino impactado desplazado hacia distal y hacia vestibular, de bordes definidos con desplazamiento de la tabla vestibular.
Comentarios
El Quiste dentígero, es un quiste odontógeno que se desarrolla alrededor de la corona de un diente impactado, normalmente no envuelve a la raíz. Es el segundo quiste más frecuente (el primero es el quiste radicular). En la radiografía se observa como una imagen radiolúcida alrededor de la corona de un diente no erupcionado, de bordes corticados, indicativa de crecimiento lento y uniforme, puede ser unilocular o multilocular, generalmente desplaza al diente en cualquier dirección. Puede llegar a ser tan grande y producir «expansión»; de corticales frecuentemente de la tabla ósea vestibular. Si se localiza próximo al seno maxilar puede expandirlo, llenarlo o desplazarlo. Cabe recordar que los bordes corticados de la lesión podrían perderse si existiese un proceso infeccioso sobreagregado.
Autor: Dr. Hugo Aguayo Olivares
-
-
-
-
-
-
-
-
-
-
-
- Director de CDI y la División de Educación Continua.
- Especialista en Radiología Oral y Maxilofacial – Universidad de Chile.
- Especialista en Tecnología Educativa en Salud – Univesidad Federal de Río de Janeiro, Brasil.
- Profesor de la Facultad de Estomatología – UPCH.
- Past Decano del Colegio Odontológico del Perú.
- Past Presidente de la Asociación Latinoamericana de Radiología e Imagenología Dento Maxilofacial.
- Responsable de la Especialización en Radiología Bucal y Maxilofacial – UCSUR.
- Ex Director de la Internacional Association of Dento- Maxillo Facial Radiology (IADMFR).
-
-
-
-
-
-
-
-
-
-







