Detalles
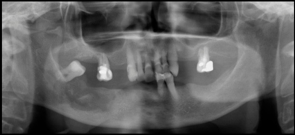
Paciente femenino 72 años de edad, acude a la consulta por presentar secresión purulenta en zona de extracción de pieza 4.6 realizada hace aproximadamente cuatro meses . En la radiografía panorámica se observa rarefacción ósea que compromete cuerpo mandibular del lado derecho con aumento de la densidad ósea circundante; en las radiografías intraorales apreciamos reacción periostal a nivel de la tabla ósea vestibular, así como la presencia de secuestro óseo hacia la tabla ósea lingual. Obsérves también la alteración en la morfología condilar bilateral compatible con proceso degenerativo articular (Osteoartrosis).
Casos Relacionados
Ver casos relacionados: 26 , 94 , 175 , 177 , 263








