aviator 1 winlucky jetmostbet aviatorpinupmost betmostbetonewinmosbet casinomostbetmosbet india1win slots4a bet4r bet1winparimatch4rabet game1win uzparimatch1 winlacky jetpin up casinopin upmostbet indiamostbet online1win casinomostbet kzaviatorpinap1win aviatorlucky jet crashmostbetпинап1win cassinomostbet aviator loginpin uppinup loginlucky jet1 win1 win4rabetpinup india1win kz1win casinopin up kzmostbet casinopin up indiamosbet casinolucky jetmostbet1win kz1win

Caso N° 218: FRACTURA MANDIBULAR

Detalles

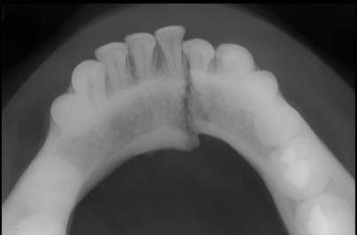
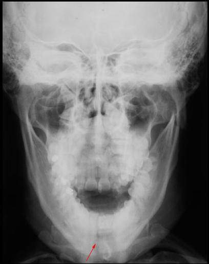
Paciente de 32 años acude a la consulta radiológica post accidente automovilístico por presentar múltiples contusiones. Al examen extraoral el paciente refiere dolor a la palpación de la región mentoniana, asi como de la zona geniana del lado izquierdo, presentando limitación a la apertura. En la radiografía panorámica (fig.1) podemos observar un trazo de fractura de forma vertical localizada en la sinfisis mentoniana que va desde el reborde alveolar hasta la basal mandibular, ademas de una linea radiolúcida de forma oblicua localizada a nivel subcondilar del lado izquierdo. En la radiografía posteroanterior tipo Towne (fig.2) nótese un desplazamiento hacia medial del cóndilo mandibular del lado izquierdo, y en la radiografía oclusal (fig.3) confirmamos el trazo de fractura en la sinfisis mentoniana con desplazamiento de segmentos.

Casos Relacionados

Ver casos relacionados: 45

Autores: Dr. Hugo Aguayo / Dr. Joshua Anderson

Tags: Casos Radiográficos

¿Te gustaría suscribirte a nuestros casos radiográficos?

Si es así, envíenos sus datos para brindarle mayor información.

Más publicaciones

Menú