aviator 1 winlucky jetmostbet aviatorpinupmost betmostbetonewinmosbet casinomostbetmosbet india1win slots4a bet4r bet1winparimatch4rabet game1win uzparimatch1 winlacky jetpin up casinopin upmostbet indiamostbet online1win casinomostbet kzaviatorpinap1win aviatorlucky jet crashmostbetпинап1win cassinomostbet aviator loginpin uppinup loginlucky jet1 win1 win4rabetpinup india1win kz1win casinopin up kzmostbet casinopin up indiamosbet casinolucky jetmostbet1win kz1win

Caso N° 207: AMELOGÉNESIS IMPERFECTA

Detalles

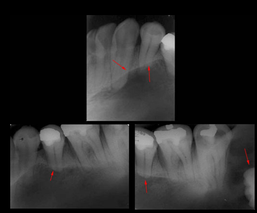
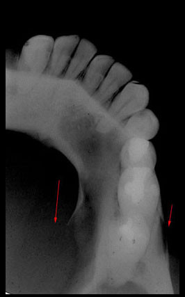
Paciente de sexo masculino de 40 años de edad acude a la consulta radiológica previo tratamiento protésico. Al examen intraoral se observó una alteración en el color de los dientes notándose amarillento parduzcos así como de la morfología coronal de las piezas dentarias de forma generalizada, además, de presentar superficies de forma irregular. En la radiografía panorámica digital observamos (Fig.1) una disminución generalizada en el espesor del esmalte dentario así como la ausencia de cúspides. En las radiografías periapicales (Fig. 2) confirmamos las características antes descritas.

Casos Relacionados

Ver casos relacionados: 3 , 116

Autores: Dr. Joshua Anderson / Dra. Hanny Gonzales

Tags: Casos Radiográficos

¿Te gustaría suscribirte a nuestros casos radiográficos?

Si es así, envíenos sus datos para brindarle mayor información.

Más publicaciones

Menú