Detalles
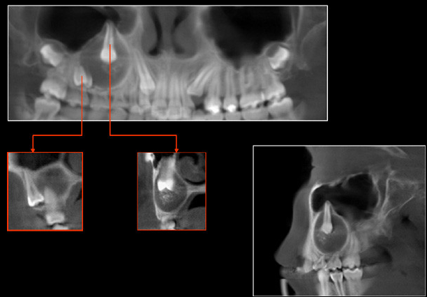
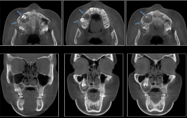
Paciente femenino 14 años de edad,asintomática. Es referida a la consulta para la evaluación radiográfica por persistencia de las piezas 5.5 y 5.4 . A la evaluación intraoral se observa aumento de volumen a nivel apical de las piezas 1.6 , 5.5 y 5.4 de consistencia dura no dolorosa a la palpación, la mucosa que lo recubre se presenta de características normales. Se le realiza el estudio con tomografía volumétrica (Picasso E-WOO),se grafican cortes panorámico, transaxiales, sagital, coronales y axiales, los que muestran una imagen mixta asociada a la retención de la pieza 1.4, que condiciona el desplazamiento hacia distal de la pieza 1.5 que se encuentra próxima a la tabla ósea vestibular y a nivel apical de la pieza 1.6; así mismo apreciamos el desplazamiento hacia mesial de la pieza 1.3, como también la expansión de las tablas óseas vestibular y palatina. Obsérvese la presencia de imágenes hiperdensas alrededor de la corona de la pieza dentaria, compatibles con calcificaciones en el interior de la lesión.
Casos Relacionados
Ver casos relacionados: 98








