Detalles
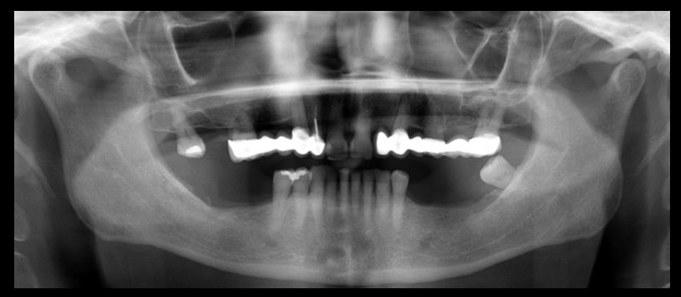
Paciente femenino de 54 años de edad, asintomática, es referida a la consulta para la evaluación con Tomografía volumétrica previa a la colocación de implantes. A la observación de los cortes axiales se evidencian dos raíces en la pieza 3.3, el corte transaxial muestra la bifurcación a nivel del tercio cervical.
Comentarios
El canino inferior tiene una raíz y un conducto excepto en el 4.5- 22% que tiene dos raíces, una vestibular y una lingual cada una con un conducto. La bifurcación se observa en la mayoría de casos hacia el tercio apical. Se han presentado variaciones de dos raíces con tres conductos pero con poca frecuencia.
Autor(es): Dra. Hanny Gonzales, Dr. Luis Díaz, Dr. Andrés Agurto









