Detalles
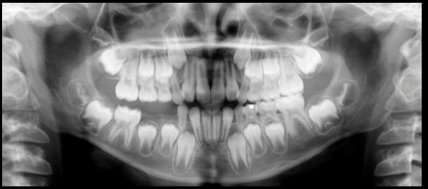
Paciente masculino 8 años de edad, es referido a la consulta para la evaluación con tomografía volumétrica por presentar un aumento de volumen indurado en la zona molar inferior derecha. En la radiografía panorámica notamos la ausencia de la piezas 8.4, 8.5 y la pieza 4.6 en infraoclusión. Se realiza estudio con tomografía volumétrica (Picasso E-WOO), se grafican cortes axiales, coronales y transaxiales que muestran a nivel de la pieza 4.6 ensanchamiento del espacio pericoronario hacia vestibular y reacción periostal que se extiende hacia la pieza 4.5 y 4.7.
Comentarios
Las infecciones odontogénicas tienen dos orígenes principales como son: periapical como resultado de una necrosis pulpar y periodontal como resultado de una bolsa profunda que permita la inoculación bacteriana. La osteomielitis es la inflamación de todas las estructuras del hueso: médula, corteza, periostio, vasos sanguíneos y nervios. En niños o adultos jóvenes pueden conllevar a la elevación del periostio y a la formación de hueso nuevo, resultando una osteomielitis con periostitis proliferativa como el presente caso relacionado a la erupción de la primera molar.









