Detalles
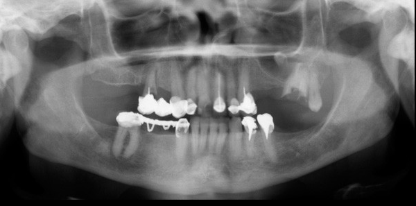
Paciente masculino 57años de edad, acude a la consulta para evaluación tomográfica previa a la colocación de implantes. En la radiografía panorámica observamos una imagen radiopaca proyectada en el antro del seno maxilar izquierdo. Se realiza estudio con tomografía volumétrica (Picasso E-WOO), se grafican cortes panorámicos, axiales, coronales y transaxiales que muestran claramente la imagen de densidad cálcica en el interior del seno maxilar izquierdo compatible con Antrolito.
Casos Relacionados
Ver casos relacionados: 5 , 20 , 44 , 197 , 280









