Paciente masculino de 65 años de edad, acude al servicio por evaluación de zona anterior mandibular; presenta antecedentes de exodoncia reciente de piezas dentarias de dicha zona por movilidad y limpieza quirúrgica por falta de cicatrización.

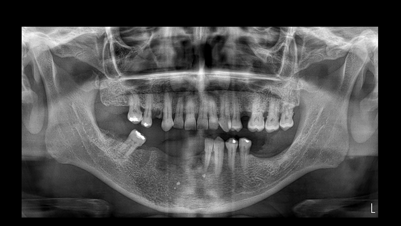
Figura 1
En la radiografía panorámica (Figura 1) se observa alteración del patrón ósea trabecular en la zona sinfisiaria, parasinfisiaria y cuerpo mandibular derecho; caracterizada por la disminución de la densidad ósea, lechos alveolares difusos correspondientes a piezas 31, 41, 42, 43, 44, 45; sin preservación de lámina dura; zonas irregulares de erosión de la cortical del reborde basal mandibular; así mismo se aprecia imágenes radiopacas irregulares sugerentes de restos de material restaurador.

Figura 2
Con la evaluación de la tomografía volumétrica en cortes axiales (Figura 2) se aprecia la lesión osteolìtica amplia en zona anterior y cuerpo mandibular derecho; de límites difusos, bordes no corticalizados y forma irregular; ocasionando la erosión de la tabla ósea vestibular y lingual.

Figura 3
En cortes coronales (Figura 3), se confirma el compromiso de la lesión de los procesos alveolares hasta la zona de reborde basal mandibular.

Figura 4
En cortes sagitales (Figura 4), se aprecia el compromiso y borramiento de las corticales del conducto dentario inferior derecho; así como del foramen mentoniano.

Figura 5

Figura 6
En la reformación panorámica y cortes transaxiales (Figura 5 y 6) se aprecia la extensión mesio-distal de zona de pieza 34 a zona mesial de pieza 46 y en sentido cefálico caudal de cima de procesos alveolares al reborde basal mandibular; presencia de alteración de los lechos alveolares y de restos de material restaurador a nivel de la tabla ósea vestibular.

Figura 7
Signos tomográficos compatibles con probable lesión maligna (NM) la cual es confirmada posteriormente por el examen histopatológico; así mismo la lesión descrita se representa de manera tridimensional en el renderizado 3D (Figura 7).
Comentarios
El carcinoma de células escamosas (CCE) es la neoplasia maligna más común y los principales factores de riesgo son el consumo de tabaco y alcohol. A nivel radiográfico se muestra como una lesión osteolìtica amplia difusa sin aumento de la densidad ósea circundante y con un crecimiento rápido. El tratamiento es la resección quirúrgica primaria con o sin terapia adyuvante pos operatoria; las mejoras en las técnicas quirúrgicas combinadas con el uso de radioterapia posboperatoria o quimiorradioterapia han dado mejores resultados de supervivencia durante la última década.
Autor: Dr. LUIS CUEVA
-
-
-
-
-
-
-
-
-
-
-
- Especialista en Radiología Bucal y Maxilofacial de la Universidad de San Martin de Porres (USMP).
- Magíster en Estomatología de la Universidad Científica del Sur (UCSUR).
- Docente de Radiología Bucal y Maxilofacial de la Universidad de San Martin de Porres (USMP).
- Docente de Radiología Bucal y Maxilofacial de la Universidad Peruana de Ciencias Aplicadas (UPC)
- Miembro de la International American Dental Maxillofacial Radiology (IADMFR).
- Miembro de la Asociación Latinoamericana de Radiología e Imagenología Dentomaxilofacial (ALARID).
- Radiólogo Bucal y Maxilofacial en Centro de Diagnóstico por Imágenes (CDI).
-
-
-
-
-
-
-
-
-
-







